Daca sunteti martorul unor evenimente importante va rugam sa ne contactati la tel: 0749.877.802 sau email: [email protected]

radiografie

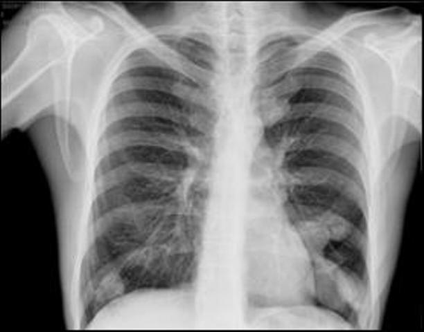
Medicii au ramas fara cuvinte cand au vazut ce se afla in stomacul unei tinere. Medicii de la un spital i-au facut o radioografie unei tinere la stomac deoarece nu le-a venit sa creada ce le-a spus fata inca de la inceput. Ea a dezvaluit cu buna stiinta ca a inghitit telefonul mobil de frica iubitului sa nu se uite la mesajele ei, scrie kanald.ro.

Doctorii nu au crezut-o la inceput, insa dupa ce au efectuat radiografia, au constatat ca fata nu mintea si intr-adevar in stomacul ei se afla telefonul mobil. Acestia au ramas socati, mai ales ca nu mai intalnisera pana atunci un asemenea caz! Sursa: realitatea.net

 

Dacă v-a plăcut acest articol, alăturați-vă, cu un simplu „Click” - „Îmi place”, comunității noastre de cititori de pe pagina de Facebook.



 

DorohoiNews.ro

DorohoiNews.ro

DorohoiNews.ro

DorohoiNews.ro




DorohoiNews.ro



GALERIE FOTO

radiografie
DorohoiNews.ro, 05-09-2014

Va rugam sa folositi un limbaj decent; mesajele postate vor fi validate de un Moderator inainte de a fi publicate pe site.

NOTA: Va rugam sa comentati la obiect, legat de continutul prezentat in material. Orice deviere in afara subiectului, folosirea de cuvinte obscene, atacuri la persoana autorului (autorilor) materialului, afisarea de anunturi publicitare, precum si jigniri, trivialitati, injurii aduse celorlalti cititori care au scris un comentariu se va sanctiona prin cenzurarea partiala a comentariului, stergerea integrala sau chiar interzicerea dreptului de a posta, prin blocarea IP-ului folosit.

Site-ul www.dorohoinews.ro nu raspunde pentru opiniile postate in rubrica de comentarii, responsabilitatea formularii acestora revine integral autorului comentariului.

Am fost informat(a) despre Politica de Confidențialitate şi de Securitate a prelucrării datelor cu caracter personal, declar ca am peste 16 ani și sunt de acord cu prelucrarea datelor cu caracter personal:
- pentru ofertare comerciala
- pentru activitati promotionale: concursuri, reclame, publicitate
Security Code

COMENTARII VIZITATORI

Fii primul care comenteaza!

Publicitate



Panoramic Travel Botosani

BANCUL ZILEI !


DorohoiNews.ro


Profesoara: Copii, dați-mi exemplu de o pasăre zburătoare!
Alina: Condorul, doamna.
Profesoara: Bravo! Ce e tatăl tău?
Alina: Avocat!
Profesoara: Ați văzut, copii, un copil de avocat ce știe?
Gigel: Vulturul, doamna.
Profesoara: Bravo! Ce e tatăl tău?
Gigel: Om de afaceri!
Profesoara: Ați văzut, copii…
Ionel: Crocodilul, doamna.
Profesoara: Cum e posibil să spui așa o prostie, cum să zboare crocodilul? Ce e tatăl tău?
Ionel: Procuror DNA!
Profesoara: Copii, zboară și crocodilul. Mai jos, dar zboară și el!



DOROHOI NEWS - Primim la redacție

DorohoiNews.ro






PARTENERI - AJOFM BOTOSANI

DorohoiNews.ro


PUBLICITATE

DorohoiNews.ro

DorohoiNews.ro

DorohoiNews.ro

ZiareBotosani.ro

POLIȚIA LOCALĂ DOROHOI

DorohoiNews.ro

PARTENERI

DorohoiNews.ro

DorohoiNews.ro

Dorohoi News

DorohoiNews.ro DorohoiNews.ro DorohoiNews.ro

DorohoiNews.ro

DorohoiNews.ro


PUBLICITATE

DorohoiNews.ro

DorohoiNews.ro



UMANITAR

DorohoiNews.ro

Donatii online prin contul PAYPAL…



DorohoiNews.ro


DorohoiNews.ro


DorohoiNews.ro


DorohoiNews.ro



PUBLICITATE


DorohoiNews.ro

DorohoiNews.ro

Ecomed Dorohoi

DorohoiNews.ro

Ultimele anunturi

Fabrică de lactate angajează muncitori (femei)

Fabrică de lactate angajează muncitori (femei)
Fabrică de lactate din Pascari, comuna Șendriceni, angajează muncitori (femei). Relații la telefon: ...

SC din Dorohoi angajează muncitori calificați în construcție, mecanic auto și doamnă pentru curățenie

SC din Dorohoi angajează muncitori calificați în construcție, mecanic auto și doamnă pentru curățenie
Societate Comercială din Dorohoi angajează muncitori calificați în construcție, mecanic auto ...

SC angajează o persoană pentru vulcanizare

SC angajează o persoană pentru vulcanizare
Societate Comercială angajează o persoană pentru vulcanizare. Experiența în domeniu constituie ...

Cu profundă tristețe, familia anunță trecerea în neființă a celei ce a fost învățătoarea Lionte Aurelia

Cu profundă tristețe, familia anunță trecerea în neființă a celei ce a fost învățătoarea Lionte Aurelia
Cu profundă durere, anunțăm trecerea în neființă a mamei și bunicii noastre, Lionte Aurelia. ...

Vând Peugeot 307 urgent

Vând Peugeot 307 urgent
Peugeot 307,1600 cmc, 2002 an fabricație, gri, cutie viteze automata

Vând bicicletă fitness

Vând bicicletă fitness
De vanzare bicicleta fitness, mai multe detalii la telefon 0773369687

Angajăm lucrător comercial - farmacie

Angajăm lucrător comercial - farmacie
Angajăm lucrător comercial - farmacie, minim diploma bacalaureat. Mai multe detalii la telefon: 0231610140 ...

Vând apartament cu două camere (Bulevardul Victoriei)

Vând apartament cu două camere (Bulevardul Victoriei)
Vând apartament cu 2 camere, etaj 3 din patru, la soare, între pereti, loc de parcare, zona ...

Vând centrală peleți Ferroli biopelet 21S

Vând centrală peleți Ferroli biopelet 21S
Vând centrală termică pe peleți Ferroli BioPellet 21S în perfectă stare de funcționare. ...

Colectivul Colegiului Național „Grigore Ghica” Dorohoi este alături de colega Stegaru Viorica

Colectivul Colegiului Național „Grigore Ghica” Dorohoi este alături de colega Stegaru Viorica
Colectivul Colegiului Național „Grigore Ghica” Dorohoi este alături de colega Stegaru Viorica ...

PARTENERI

DorohoiNews.ro


DorohoiNews.ro


DorohoiNews.ro


DorohoiNews.ro


DorohoiNews.ro

DorohoiNews.ro

DorohoiNews.ro

DorohoiNews.ro

DorohoiNews.ro